Ready to Finally Start?
Call our office and our friendly team will answer any questions you may have.
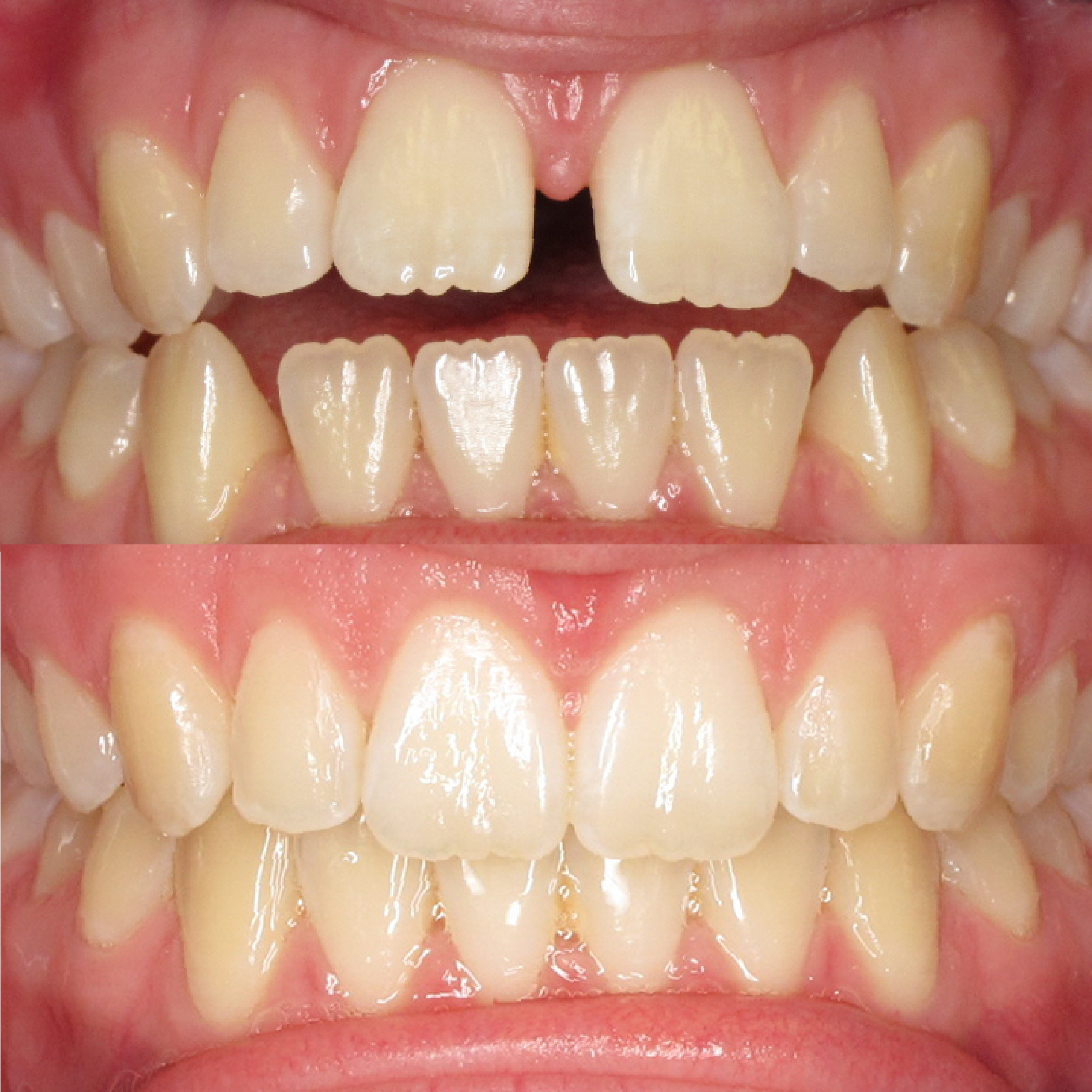
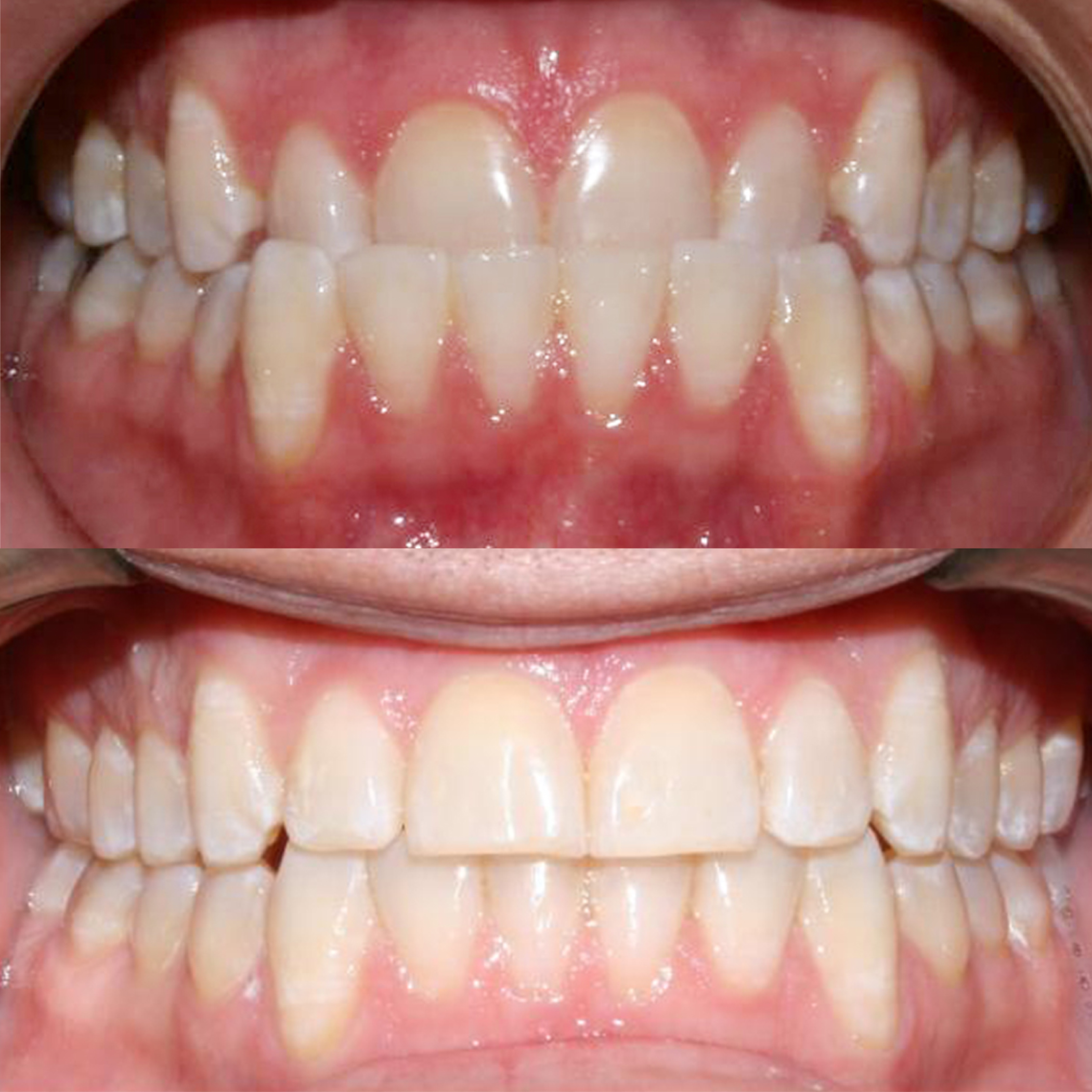
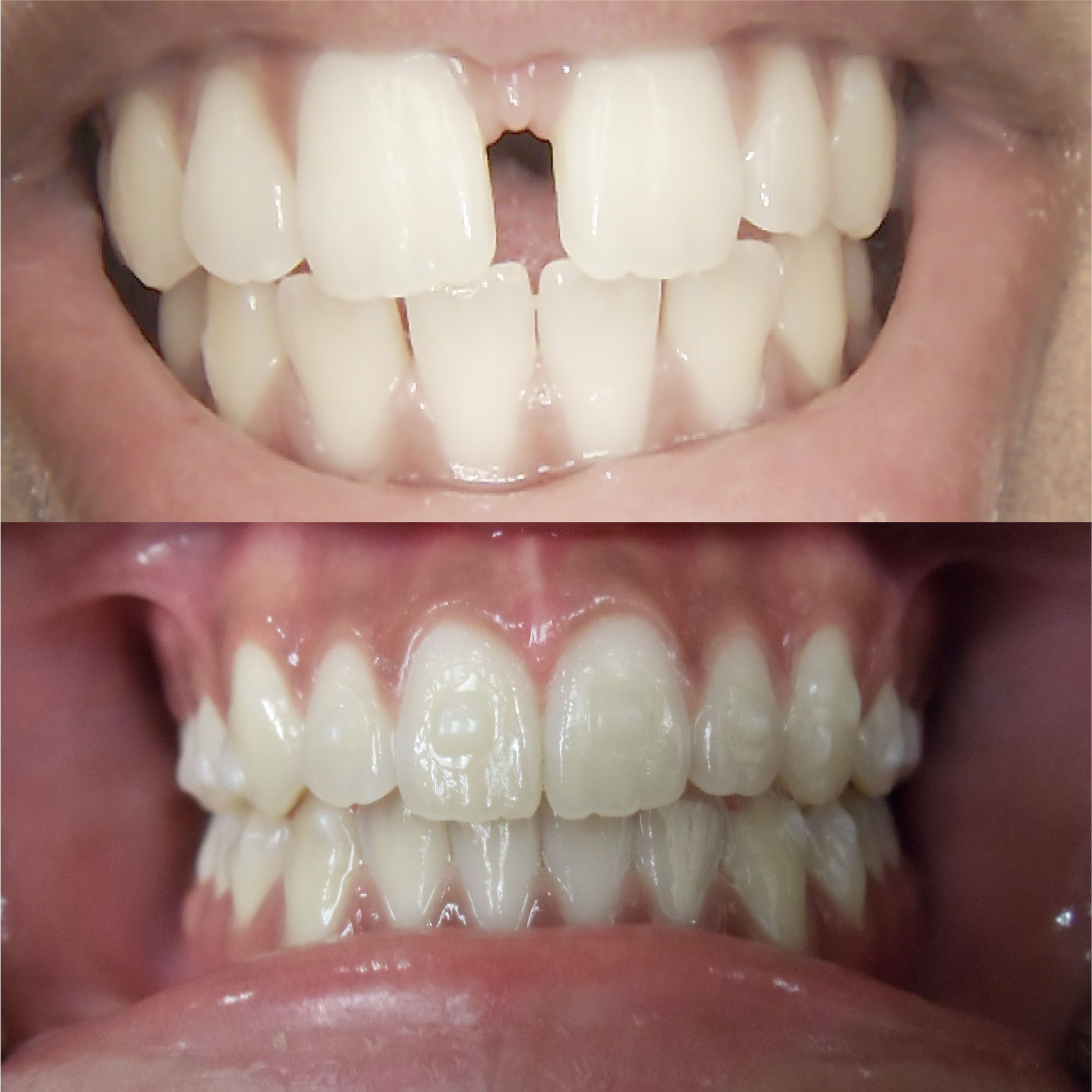
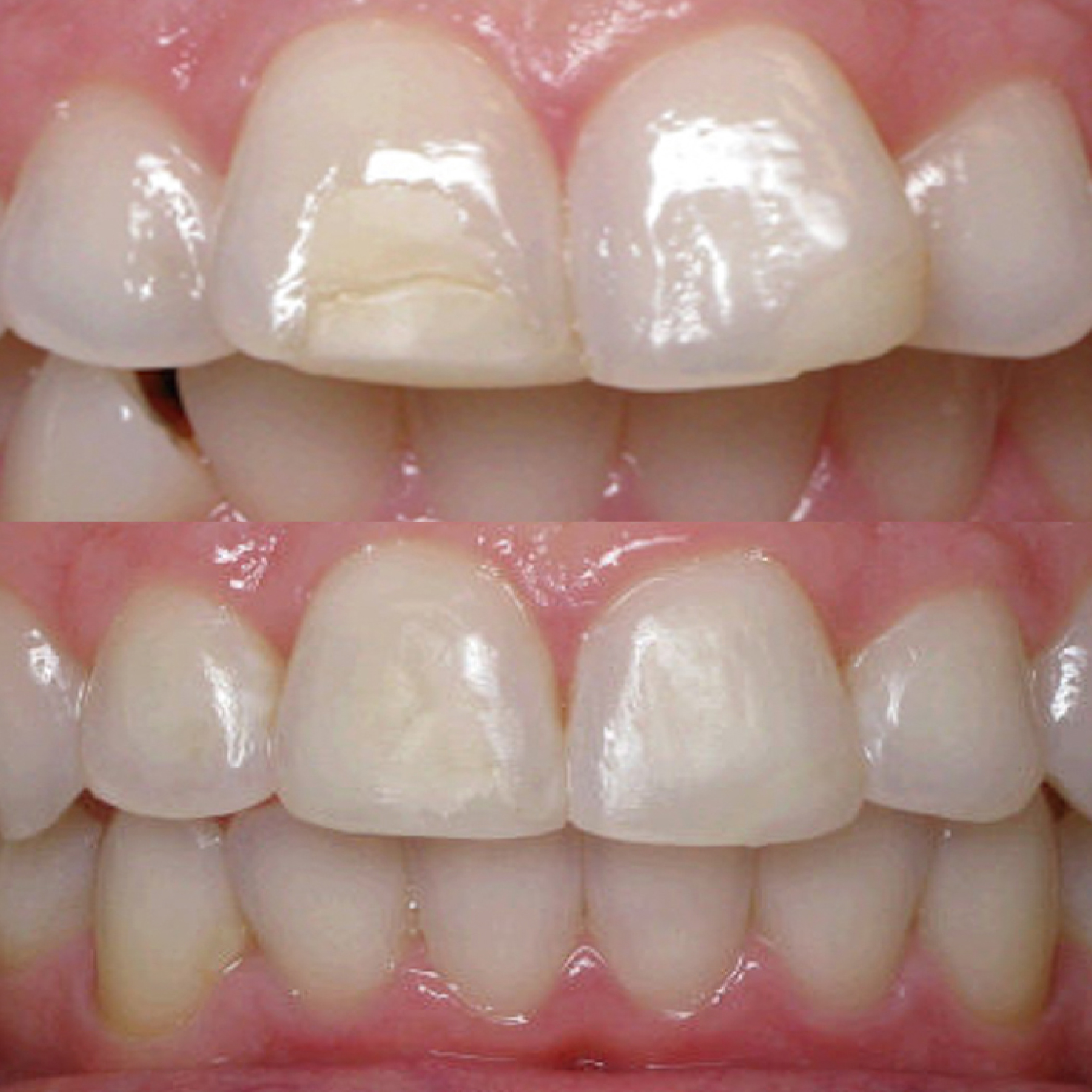
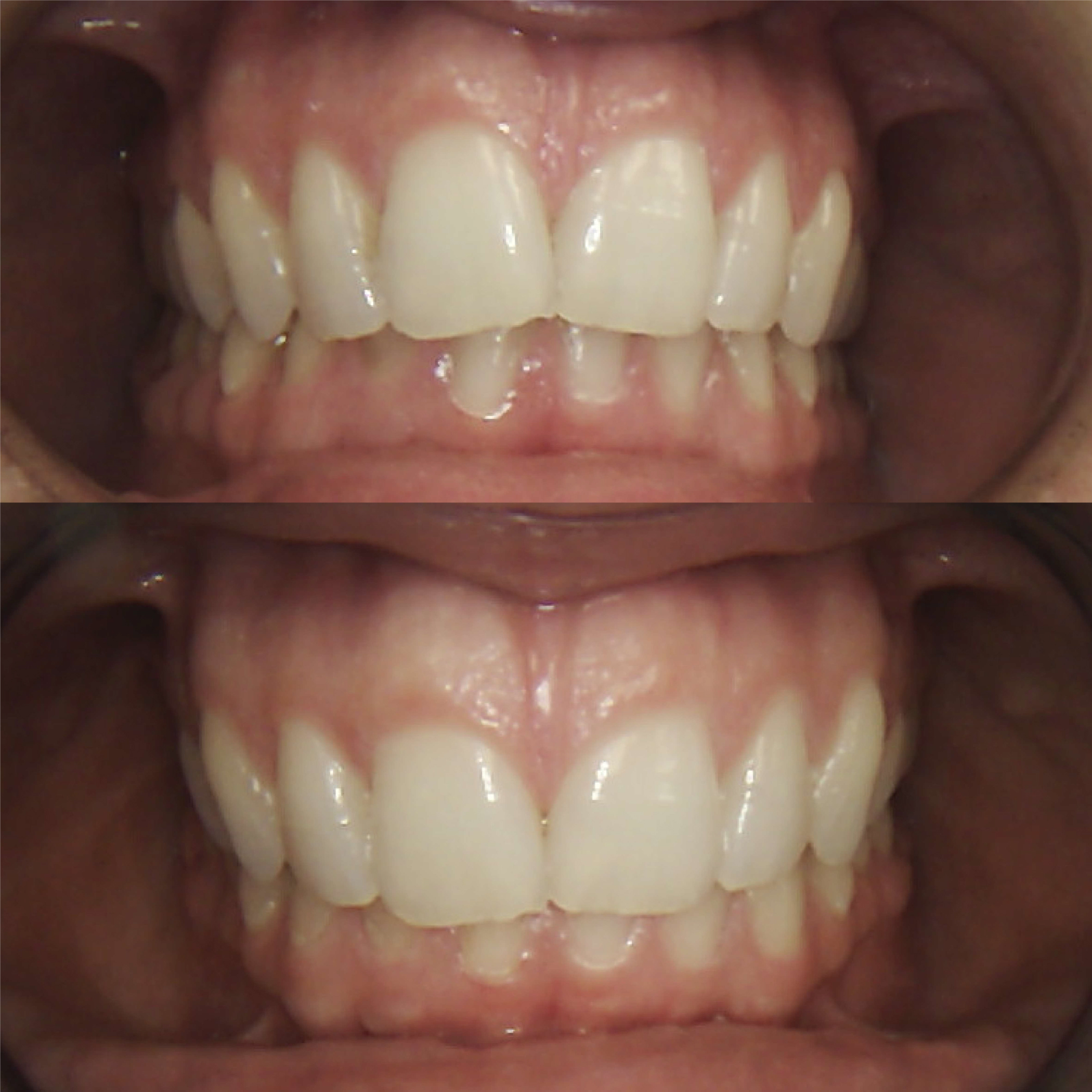
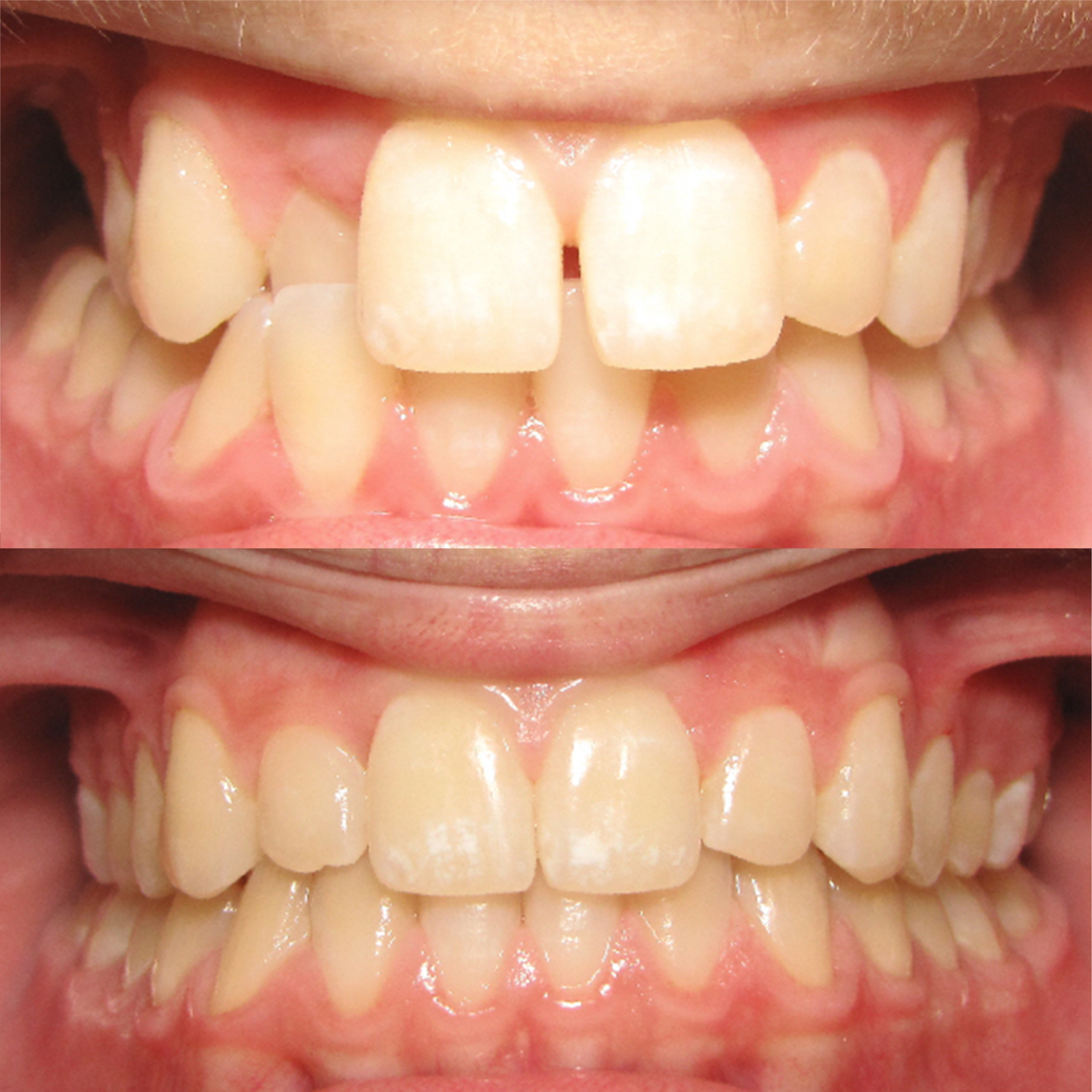
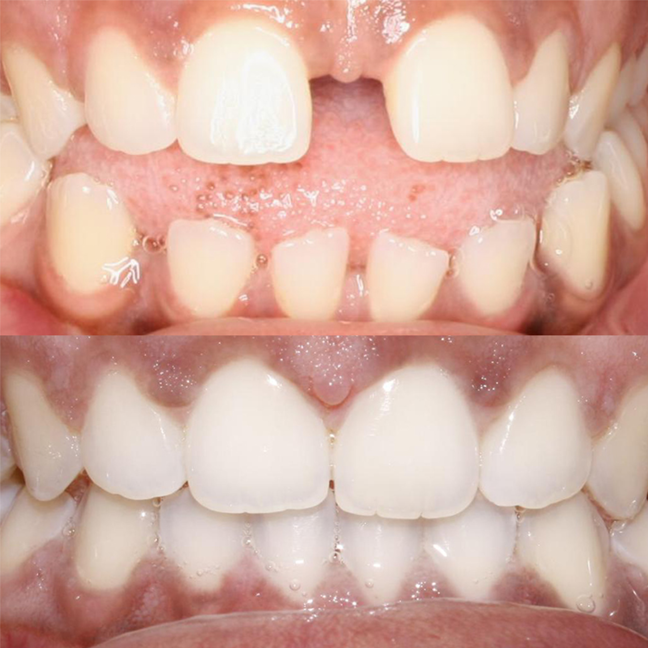
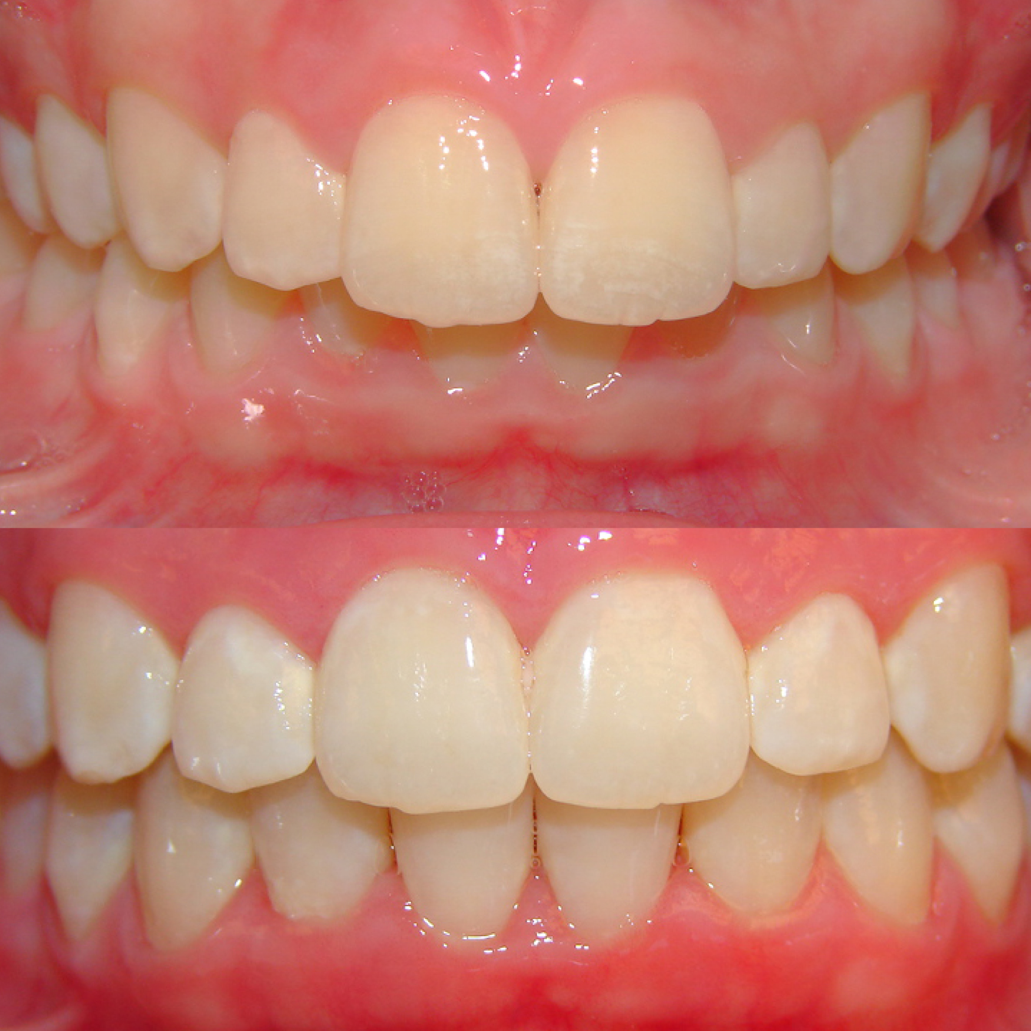
You've been putting off your smile long enough
Invisalign at Vitalae Dental Care in Garden Grove, CA
Maybe it started with braces that felt too obvious, or a consultation that felt rushed. Or just life getting in the way and before you knew it, years passed.
A lot of our Invisalign patients in Garden Grove tell us the same thing when they finally come in: "I wish I'd done this sooner."
Invisalign isn't a big commitment. It fits into your life the way it already is: removable, low-profile, and more comfortable than you're probably expecting. At Vitalae, we take the time to actually explain it to you, so you leave your first visit feeling confident, not overwhelmed.
We start with a free consultation. We take digital scans of your teeth (no goopy impressions) and show you a preview of what your smile could look like before you commit to anything.
Once you're ready, your custom aligners are made just for you. You wear each set for about 2 weeks, removing them to eat and brush like normal. Every 4-8 weeks you'll come back so we can check your progress and give you your next sets.
Most patients are done in 12-18 months. Some see results in as little as 6. At the end, you'll receive a retainer to keep everything in place.
Not sure if you're a candidate? Come in and we'll tell you honestly. If Invisalign isn't the right fit for your situation, we'll let you know.
One of the biggest reasons people put off Invisalign is cost. We get it. That's why we offer flexible financing options that break your treatment into monthly payments that work with your budget.
During your free consultation, we'll go over exactly what your treatment would cost, what your insurance may cover, and what your monthly payment options look like before you make any decision
We've been treating Garden Grove families since 2014 and are a Platinum Invisalign Provider. We're not a corporate dental chain. Dr. Bui and our team take the time to actually get to know you, your schedule, your concerns and what you're hoping for.
We don't rush consultations. We don't push you into treatment you're not ready for. And when you do start, you'll have the same familiar faces with you the whole way through.
That matters more than most people realize, especially for treatment that may take over a year.
Vitalae has been amazing with my Invisalign journey! I went to get 4 different quotes with this office being in the same price range as 2 others. I chose Vitalae because of they made me feel comfortable and offered payment plans. I'm glad I made the right choice because my results turned out exactly as planned!
I'm the type of person who has a lot of questions especially when it comes to expensive procedures. Before I started Invisalign, all of the questions I had were explained thoroughly by their team which made it easy for me to commit. They weren't pushy at all. I'm very happy with my Invisalign treatment and would recommend Vitalae to anyone who's interested in Invisalign.
Vitalae Dental Care did an excellent job with my Invisalign treatment. Their customer service was truly A+. The team was always friendly, helpful, and made the whole process easy. I’m very happy with my results and would highly recommend them to anyone considering Invisalign.

Call our office and our friendly team will answer any questions you may have.
